二级分类
-
胸部COVIDx数据集
医疗行业, 图像分割数据集内容:COVID-19疫情对全球人口的健康造成毁灭性的伤害,对抗COVID…2023年1月2日4.30K 26 -
头部CT扫描CQ500数据集
医疗行业, 图像分割数据集内容:CQ500数据集是一个头部CT扫描数据集,可以用来训练识别脑部出血,…2023年1月2日4.48K 26 -
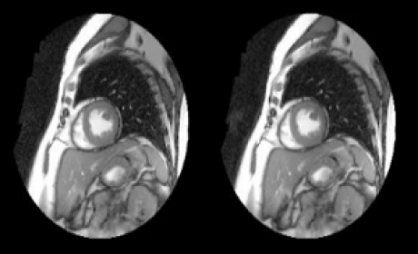
Sunnybrook Cardiac心脏MR左心室数据集
医疗行业, 图像分割数据集内容:unnybrook Cardiac 数据集,又称 2009 年心脏 …2023年1月10日2.31W 96 -
FIRE视网膜眼底数据集
医疗行业, 图像配准数据集内容:视网膜眼底图像数据集,由 Papageorgiou Hospital…2023年1月11日2.42W 101 -
Cardiac MRI心房数据集
医疗行业, 图像分割数据集内容:心脏病患者心房医疗影像数据集,还包括左心室的心内膜和外膜的图像标注,…2023年1月11日1.94W 68 -
TCGA-CESC癌症CT数据集
医疗行业, 图像分割数据集内容:宫颈鳞状细胞癌和子宫颈腺癌相关的数据集,由 GDC Data Por…2023年1月4日1.95W 57 -
TCGA-ESCA癌症CT数据集
医疗行业, 图像分割数据集内容:食道癌相关的数据集,由 GDC Data Portal 发布 数据集…2023年1月4日2.07W 78 -
TCGA-LUAD肺癌CT图像数据
医疗行业, 图像分割数据集内容:肺癌CT影像数据,源自另一个更大的癌症数据项目 The Cancer…2023年1月3日2.51W 102 -
通用病变体数据集
医疗行业, 目标检测数据集内容:多种病变类型,包括肾脏病变,骨病变,肺结节和淋巴结肿大等 数据集数量…2023年1月7日2.29W 85